
▲52歲的徐女士長年飽受經痛、頻尿及下腹悶脹等症狀困擾,檢查發現她有一顆約中型芒果大小的子宮肌瘤,林新醫院婦產科胡洺褘醫師為她進行「子宮肌瘤微波消融術」,術後恢復狀況良好,肌瘤縮小、令徐女士困擾的症狀也明顯改善。(圖╱林新醫院提供)
【亞太新聞網/記者孔亮云/台中報導】
52歲的徐女士長年飽受經痛、頻尿及下腹悶脹等症狀困擾,她在113年9月20日前往林新醫院健檢中心接受檢查時,經婦產科超音波檢查發現,她的子宮前壁長有一顆約 7.3×6.5×6.2 公分、體積達294立方公分的子宮肌瘤,大小約等同一顆中型芒果,且已壓迫膀胱,導致她日常需頻繁如廁、夜間多次起床影響睡眠,外出時也須時時留意洗手間位置,生活品質明顯受到影響。

▲徐女士的子宮前壁長有一顆約 7.3×6.5×6.2 公分、體積達294立方公分的子宮肌瘤,大小約等同一顆中型芒果,且已壓迫膀胱,導致她日常需頻繁如廁,生活品質明顯受到影響。(圖╱林新醫院提供)
林新醫院婦產科胡洺褘醫師表示,子宮肌瘤是育齡及更年期女性常見的良性腫瘤,當肌瘤體積過大或壓迫周邊器官時,常會引發經痛、經血量過多、頻尿或下腹壓迫感等問題。治療方式需依病人年齡、症狀嚴重度及是否希望保留子宮做整體評估。

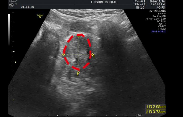
▲徐女士一個月後回診追蹤,超音波顯示肌瘤已縮小至3.7×3.6×2.9公分,體積僅剩38立方公分,約縮小近九成,大小相當於一顆小番茄。(圖╱林新醫院提供)
徐女士因希望保留子宮,並考量恢復期短、疼痛感較低,在與醫師充分討論後,選擇接受「子宮肌瘤微波消融術」。這種手術透過影像導引,將微波能量精準作用於肌瘤組織,使肌瘤壞死並逐漸被人體吸收,屬於微創治療方式。
徐女士於113年10月7日完成手術,術後恢復狀況良好,僅住院兩日即順利出院。一個月後回診追蹤,超音波顯示肌瘤已縮小至3.7×3.6×2.9公分,體積僅剩38立方公分,約縮小近九成,大小相當於一顆小番茄。原本困擾多年的經痛及因肌瘤壓迫造成的頻尿、悶脹感,也明顯獲得改善。
胡洺褘醫師指出,從這個案例可見,子宮肌瘤微波消融術在縮小肌瘤體積及緩解相關症狀方面,具有相當顯著的效果。這項技術特別適合希望保留子宮、且不適合或不願接受傳統手術切除的女性,但仍須經專業醫師詳細評估後選擇最合適的治療方式。林新醫院婦產科提醒,女性若長期出現經痛加劇、經血量異常、頻尿或下腹不適等症狀,應及早就醫檢查,把握治療時機,以維護健康與生活品質。